Somos especialistas en implantes dentales en Madrid

¿Qué son los implantes dentales?

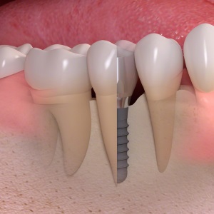
Los implantes dentales son tornillos de titanio que sustituyen a las raíces de los dientes. Se colocan en los huesos maxilares y con ello se logra la reposición de las piezas dentales ausentes.

Es decir, actúan como la raíz de tus dientes naturales y soportan la corona, el puente o la prótesis completa fija.

¿Buscas el mejor especialista en Implantes dentales en Madrid?

En clínica Dental Díez sólo utilizamos la mejor tecnología, técnicas totalmente innovadoras y la más alta calidad de productos y materiales sanitarios.

Solicita información sin compromiso llamándonos al 91 539 36 77.

O si lo prefieres te llamamos nosotros, ve a la sección de contacto y rellena el formulario con tus datos y te llamaremos lo antes posible.

¿Tienes alguna duda? Ve a nuestra sección de preguntas frecuentes sobre implantes dentales e intentaremos ayudarte y aclarar algunos conceptos.

Conoce nuestros tratamientos de Implantes dentales en Madrid

Siempre cuidando el detalle con el mejor equipo y los mejores materiales.

Implantes dentales unitarios en Clínica Dental Díez - tu dentista de confianza en Madrid Legazpi

Implantes dentales unitarios

Implantes que sustituyen una sola pieza dental perdida. Es una solución tanto estética como funcional.

Implantes dentales arcada completa en Clínica Dental Díez - tu dentista de confianza en Madrid Legazpi

Implantes dentales arcada completa

Representan la mejor opción cuando el paciente ha perdido todas las piezas dentales de una misma arcada.

Implantes de carga inmediata en Clínica Dental Díez - tu dentista de confianza en Madrid Legazpi

Implantes de carga inmediata

Los últimos avances en implantología permiten en una única sesión extraer un diente, colocar el implante y colocar inmediatamente una prótesis provisional, sustituyendo el diente en el momento.

Técnica All on 4 Y All on 6 en Clínica Dental Díez - tu dentista de confianza en Madrid Legazpi

Técnica All on 4 Y All on 6

Ofrece una solución a los pacientes desdentados, pudiendo colocar una prótesis de arcada completa en 24 horas sobre cuatro implantes (All on 4) o sobre seis (All on 6).

Preguntas frecuentes sobre los Implantes Dentales

Implantes dentales en Clínica Dental Díez - tu dentista de confianza en Madrid Legazpi

¿Qúe son los implantes dentales?

Los implantes dentales son tornillos de titanio que sustituyen a las raíces de los dientes. Se colocan en los huesos maxilares y con ello se logra la reposición de las piezas dentales ausentes.
Es decir, actúan como la raíz de tus dientes naturales y soportan la corona, el puente o la prótesis completa fija.

Implantes dentales en Clínica Dental Díez - tu dentista de confianza en Madrid Legazpi

¿Para qué sirven los implantes dentales?

La pérdida de un diente, a parte de un problema estético, altera la mordida, provoca sobrecarga en los dientes adyacentes, compromete la correcta función masticatoria; pudiendo aparecer problemas en los músculos y articulaciones circundantes.
Por todo esto, es necesario reponer las piezas dentales que perdemos.

Implantes dentales en Clínica Dental Díez - tu dentista de confianza en Madrid Legazpi

Los implantes dentales son la mejor opción a la hora de reponer las piezas dentales perdidas. Permiten recuperar la salud, funcionalidad y estética de la boca; siendo el método más eficaz, rápido y seguro para reponer las piezas dentales. Nos permiten mantener sanas e íntegras las piezas dentales adyacentes.

¿Cuáles son las ventajas de utilizar implantes dentales?

  • Reemplazan a los dientes perdidos, de una manera muy natural mejorando tu estética.
  • Son mínimamente invasivos. Evitan dañar a los dientes sanos adyacentes.
  • Ayudan a prevenir la pérdida de hueso, y otras complicaciones derivadas de la pérdida dental, como son inclinaciones, extrusiones y movimientos de los dientes vecinos que harán más difícil una correcta higiene.
  • Facilitan la alimentación y mejoran la dicción al hablar.
  • Recuperan la sonrisa natural y la apariencia más juvenil.
  • Los implantes dentales son soluciones con un alto grado de previsibilidad con estudios a largo plazo que demuestran las altas tasas de éxito.

Materiales de los implantes dentales en Clínica Dental Díez - tu dentista de confianza en Madrid Legazpi

¿De qué material están hechos los implantes dentales? ¿Son todos los implantes iguales?

La práctica totalidad de los implantes que hay en el mercado están fabricados con TITANIO que es un material totalmente biocompatible, bioinerte, estable y capaz de integrarse por completo en el hueso y muy buena tolerancia a los tejidos blandos.

El titanio es un metal con muy buena biocompatibilidad y no ha demostrado ninguna reacción tóxica ni irritativa con los tejidos vivos, por lo que es prácticamente imposible que aparezca una reacción alérgica.
Pero NO TODOS LOS IMPLANTES SON IGUALES, no presentan la misma calidad ni las mismas prestaciones. Por eso en Dental Díez sólo trabajamos con implantes de la mejor calidad que nos ofrecen una serie de garantías que podemos trasladar a nuestros pacientes. Ofrecer un tratamiento de calidad es una condición indispensable para nosotros.

¿Cómo se realiza un implante dental?

  • 1º Evaluación del estado bucodental.
  • Antes de realizar un tratamiento con implantes hay que realizar una correcta evaluación del estado global de la boca del paciente para verificar que el caso es apto para dicho tratamiento.
    Para ello será necesario realizar pruebas diagnósticas como una ortopantomografía y/o un scanner de los huesos maxilares.
    Además, el resto del estado bucodental debe estar en perfectas condiciones, pudiendo precisar previamente una limpieza dental y eliminar los posibles focos de infección (periodontitis, caries, extracciones, etc…) para realizar el implante en las mejores condiciones y minimizar riesgos.

  • 2º Anestesia local.
  • Similar a la anestesia que se emplea para realizar empastes o extracciones dentales.

  • 3º Inserción del implante.
  • La intervención para la colocación del implante es un proceso sencillo e indoloro, es menos molesto que la extracción de una muela.
    Se realiza un pequeño orificio en el hueso maxilar o mandibular, donde se coloca el implante.
    Muchas veces no se precisa hacer incisión en la encía donde va a colocarse el implante (TÉCNICA MÍNIMAMENTE INVASIVA), por lo que no se precisará sutura, disminuyendo significativamente el dolor e inflamación postoperatorio.

  • 4º Esperar a que el implante se integre en el hueso.
  • Una vez colocado el implante tenemos que esperar un tiempo medio de dos a cuatro meses, para que el tejido óseo reconozca el implante y lo integre.

  • 5º Colocación de la restauración definitiva.
  • Una vez integrado completamente el implante en el hueso, el odontólogo tomará medidas para la prótesis dental definitiva que reemplaza el diente perdido.

¿Qué cuidados debo tener con un implante?

Al igual que sus dientes naturales, es necesario mantener unos buenos hábitos de higiene en los implantes dentales ya que de esta manera se conservarán mejor y evitaremos posibles complicaciones derivadas de la mala higiene.
El odontólogo establecerá un calendario de revisiones periódicas para controlar el correcto estado de salud de los implantes.
Hay que seguir unas normas básicas de higiene oral, incluyendo el cepillado, uso de seda dental e irrigadores bucales.

¿Cuál es la duración de un implante dental?

Los implantes dentales no tienen fecha de caducidad, al igual que no lo tienen sus dientes naturales.
Manteniendo una buena higiene oral y siguiendo las indicaciones de su dentista, los implantes pueden durar toda la vida.

¿Existe edad límite para colocarse un implante?

No existe edad límite para colocarse implantes. Igualmente, no se debe colocar implantes a los pacientes que no han concluido su crecimiento (es decir, generalmente no antes de los 18 años).